Implantologist and Oral Rehabilitation
The clinic began welcoming patients in 2019; since then, they have gained the respect and trust of thousands of patients from home and abroad. The location in Tijuana makes it an especially convenient destination for North American clients wanting to take advantage of affordable dentistry at prices significantly lower than at home.
At Dr Borboa Implant Center in Tijuana, dentists love dentistry; they want to help you keep on top of your oral health and provide the best possible smile restoration solutions with the application of dental implants, crowns and other fixed prosthetics.
From standard cleaning, fillings, whitening and veneers right through to oral surgery and orthodontics, the team of experts at Dr Borboa Implant Center specialize in various different areas of dentistry and between them, boast over 60 years of professional experience.
From standard cleaning, fillings, whitening and veneers right through to oral surgery and orthodontics, the team of experts at Dr Borboa Implant Center specialize in various different areas of dentistry and between them, boast over 60 years of professional experience.
The clinic’s aim is to offer the exact type of dentistry that all patients come looking for in Tijuana. With flexible timing, transparent pricing, a full explanation of what each procedure entails, high customer satisfaction rates and comprehensive after-care service, patients can look forward to having their expectations exceeded at every step of their treatment at Dr Borboa Implant Center.
Dr. Carlos Eduardo Borboa is dental surgeon from the Autonomous University of Sinaloa, certified as a Dentist member of multiple associations such as the American Dental Association and the Mexican Dental Association.
Dentists love dentistry; they want to help you keep on top of your oral health and provide the best possible smile restoration solutions.
(619) 799 2741
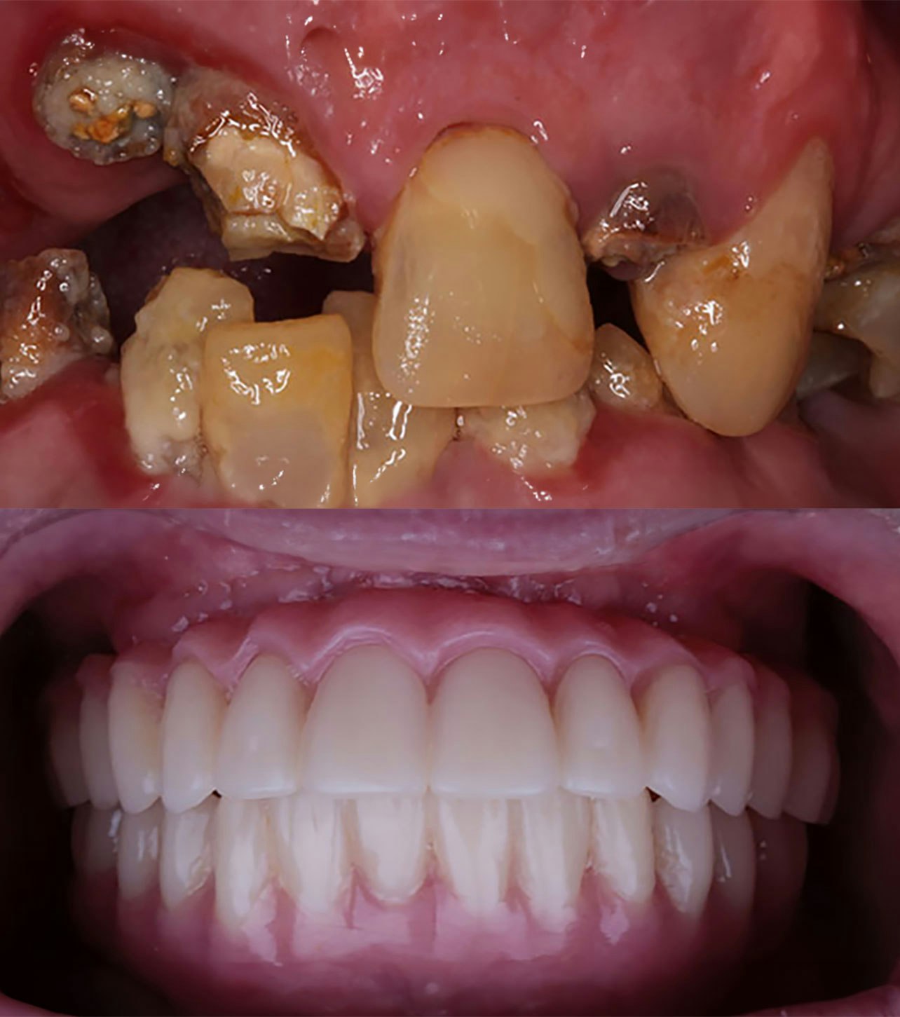
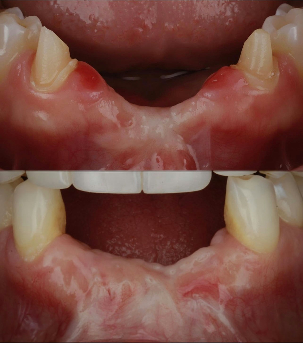
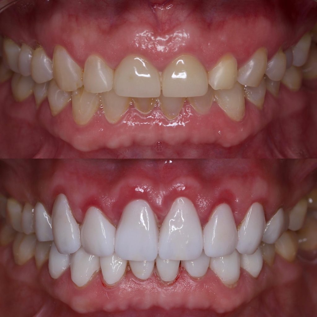
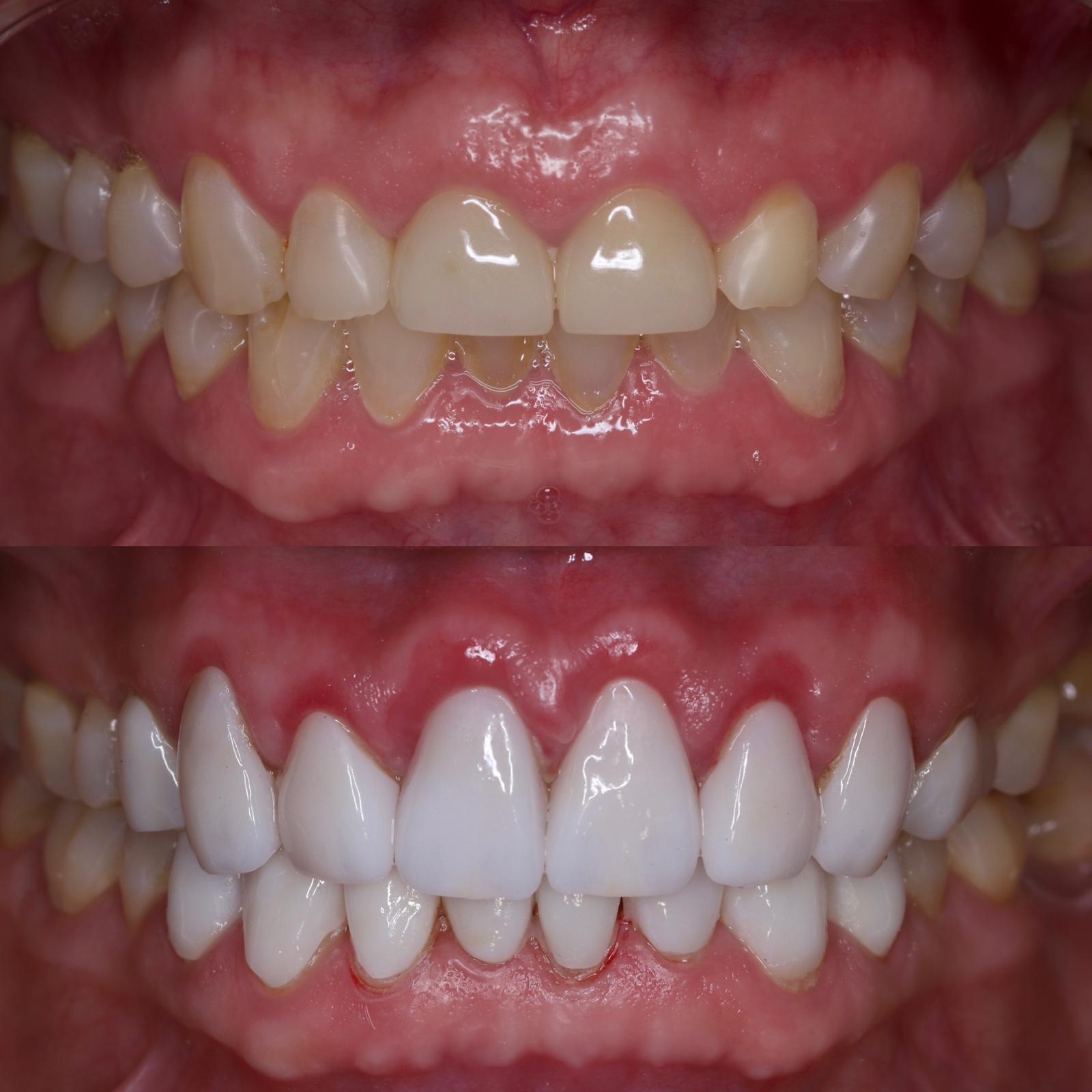
OUR REAL PATIENT CASES
Dental Team at Dr Borboa Implant Center




Dr Borboa Implant Center FOR IMPLANTS & PERIODONTICS
WHAT TO EXPECT FROM OUR TEAM

The clinic's aim is to offer the exact type of dentistry that all patients come looking for in Tijuana. With flexible timing, transparent pricing, a full explanation of what each procedure entails, high customer satisfaction rates and comprehensive after-care service, patients can look forward to having their expectations exceeded at every step of their treatment at Dr Borboa Implant Center.

The clinic began welcoming patients in 2019; since then, they have gained the respect and trust of thousands of patients from home and abroad. The location in Tijuana makes it an especially convenient destination for North American clients wanting to take advantage of affordable dentistry at prices significantly lower than at home.

From standard cleaning, fillings, whitening and veneers right through to oral surgery and orthodontics, the team of experts at Dr Borboa Implant Center specialize in various different areas of dentistry and between them, boast over 60 years of professional experience.
Pay your balance with our secure online tool.
Access and submit your patient forms.
Refer a patient to our practice.
RufiIno Tamayo 9990,
Zona Urbana Rio, 22010 Tijuana, B.C.
Open Today 8:00am – 06:00pm